
नई दिल्ली। दिल्ली स्थित सर गंगा राम अस्पताल (Sir Ganga Ram Hospital, Delhi) के डॉक्टरों ने कम से कम दो मरीजों के स्मॉल इंटेस्टाइन Small intestine of two patients (छोटी आंत) में म्यूकरमाइकोसिस (mucormycosis) का पता लगाने की पुष्टि की है. स्वास्थ्य मंत्रालय(Ministry of Health) के अनुसार, दुर्लभ बीमारी जिसे ‘ब्लैक फंगस’ (Black fungus) भी कहा जाता है, ने अब तक देश भर में कुल 219 लोगों की जान ले ली है.
सर गंगा राम अस्पताल ने शनिवार को जारी बयान में कहा कि ठीक हुए दो कोरोना मरीजों की छोटी आंत में ब्लैक फंगस का पता चला था.
ये दोनों ही मामले दुर्लभ हैं क्योंकि ‘ब्लैक फंगस’ आमतौर पर फेफड़े (लंग्स) में होते हैं, लेकिन सर गंगा राम अस्पताल में इलाज किए गए दो मरीजों के पेट/कोलन में म्यूकरमाइकोसिस था.
अस्पताल ने कहा, “बायोप्सी ने दोनों मरीजों की छोटी आंत में म्यूकरमाइकोसिस के होने की पुष्टि की. इन दोनों मरीजों को कोविड था और उन्हें शुगर भी था, लेकिन उनमें से सिर्फ एक मरीज को ही स्टेरॉयड दिया गया था.”
56 वर्षीय पहले मरीज ने अपने परिवार के तीन सदस्यों को कोविड-19 की वजह से खो दिया है. वह अपनी पत्नी के साथ कोरोना पॉजिटिव हुए थे और संक्रमण से उबरने के बाद पेट में दर्द का अनुभव कर रहे थे. लेकिन उन्होंने शुरू में खुद से ही एसिडिटी की दवा ली, जिसके कारण इलाज में देरी हुई.
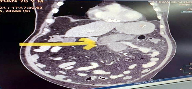
लेकिन सीटी स्कैन के बाद डॉक्टरों ने इस मरीज में छोटी आंत में म्यूकरमाइकोसिस का पता लगाया. डॉक्टरों ने बिना समय बर्बाद किए ऑपरेशन करने का फैसला किया क्योंकि सीटी स्कैन से पता चला कि उसकी छोटी आंत में छेद हो गया था.
अस्पताल के सर्जिकल गैस्ट्रोएंटरोलॉजी और लीवर ट्रांसप्लांटेशन विभाग के एक वरिष्ठ सलाहकार, डॉ उषास्त धीर ने कहा, “मरीज में Jejunam (छोटी आंत का पहला भाग) के Ulceration ने फंगल बीमारी के मेरे संदेह को बढ़ा दिया और मरीज का तुरंत एंटी फंगल उपचार शुरू कर दिया गया. हमने निकाले गए आंत के हिस्से को बायोप्सी के लिए भेजा.”
जबकि 68 वर्षीय दूसरे मरीज के मामले में डॉक्टरों का कहना है कि उन्होंने भी कोविड -19 से ठीक होने के बाद पेट में हल्के दर्द का अनुभव किया. मरीज शुगर से पीड़ित हैं और उन्हें इलाज के दौरान उन्हें स्टेरॉयड दिया गया. इनके सीटी स्कैन के छोटी आंत में एक छिद्र होने का पता चला, जैसा कि पहले मरीज में था.