img-fluid

पौधे से संक्रमित हुआ शख्स, भारत के इस राज्य में मिला दुनिया का पहला मामला!

April 01, 2023

नई दिल्ली: पश्चिम बंगाल के कोलकाता (Kolkata of West Bengal) में एक ऐसी बीमारी के बारे मे पता चला है जिसमें एक पौधे से एक शख्स संक्रमित (infected) हो गया. इस बीमारी का नाम किलर प्लांट फंगल (killer plant fungal) है जो कि पौधे से इंसानों में फैलता है. कोलकाता में आया ये मामला अपने आप में दुनिया का पहला केस बताया जा रहा है. प्राप्त जानकारी के मुताबिक 61 साल के जिस शख्स को किलर प्लांट फंगस नाम की ये बीमारी हुई थी पेशेवर प्लांट माइक्रोलॉजिस्ट (professional plant micrologist) है. माइक्रोलॉजिस्ट के तौर पर काम करते हुए वह सड़ने वाली सामग्री, मशरूम और अलग अलग पौधों के फंगल पर रिसर्च करते हुए समय बिताते रहे.

बीमारी के लक्षणों की बात करें तो संक्रमित मरीज की आवाज में बदलाव आ गया और उन्हें खाने में काफी दिक्कतों का सामना करना पड़ा. तबीयत ज्यादा खराब होने के बाद उन्हें कोलकाता के एक अस्पताल में भर्ती भी कराया गया है जहां उनका इलाज किया गया. उनका इलाज करने वाले डॉक्टर्स के मुताबिक मरीज को पिछले 3 महीने से खांसी, खकान और खाना निगलने में समस्या हो रही थी. इसी के चलते उनकी आवाज भी बदल गई.


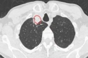
  • सीटी स्कैन किए जाने पर उनकी गर्दन में एक पैराट्राचेयल फोड़ा नजर आया. जांच के बाद डॉक्टर्स ने इस फोड़े को हटा दिया और टेस्ट के लिए एक सैंपल, विश्व स्वास्थ्य संगठन के रेफरेंस एंड रिसर्च ऑन फंगी ऑफ मेडिकल इंपॉर्टेंस के सहयोग केंद्र पर भेजा. संक्रमित शख्स को डायबिटीज, एचआईवी संक्रमण, गुर्दे की बीमारी या फिर किसी और तरह की पुरानी बीमारी नहीं रही थी.

    दुनिया में पौधे से इंसान में हुए अपने तरह के संक्रमण के इस पहले मामले की वजह चोंड्रोस्टेरियम परप्यूरियम बताई जा रही है. ये एक कवक पौधा होता है जिसके चलते पौधों में सिल्वर लीफ रोग होता है. यह पौधा गुलाब परिवार का होता है. हालांकि अभी तक इस पौधे के चलते इंसानों में संक्रमण होने का मामला नहीं देखा गया था. इंसानो में रोग पैदा करने वाला पौधे के कवक का यह पहला केस है. रिसर्चर्स बताते हैं कि संक्रमित व्यक्ति के इलाज के लिए उन्हें एंटी फंगल दवाएं दी गईं जिससे वह पूरी तरह से ठीक हो चुके हैं. दो साल के फॉलोअप के बाद अब वह पूरी तरह से स्वस्थ हैं और उनके फिर से संक्रमित होने के सबूत नहीं मिले.

    Share:

  • रामनवमी पर देशभर में दंगे करवा रही बीजेपी : कमलनाथ

    Sat Apr 1 , 2023
    खरगोन: मध्यप्रदेश के पूर्व डिप्टी सीएम सुभाष यादव (Subhash Yadav) की आज जयंती मनाई जा रही है. इस मौके पर पूर्व सीएम कमलनाथ (Kamal nath) के साथ कांग्रेस के दिग्विजय सिंह, कांग्रेस के प्रदेश प्रभारी महासचिव जे पी अग्रवाल, विवेक तंखा नेता प्रतिपक्ष गोविन्द सिंह सहित कई दिग्गज कांग्रेस नेता पहुंचे. यहां उनकी प्रतिमा का […]
    सम्बंधित ख़बरें
    लेटेस्ट
    खरी-खरी
    का राशिफल
    जीवनशैली
    मनोरंजन
    अभी-अभी
  • Archives

  • ©2026 Agnibaan , All Rights Reserved